歯を白くすると、虫歯も減る?審美歯科の意外な健康効果
審美歯科は見た目をきれいにするだけだと思っていませんか?
自身のある笑顔が心の健康も高め
全身の健康にも繋がります
こんにちは!福岡県飯塚市鯰田にあるハート歯科クリニックいまい
(予防歯科・矯正歯科・審美歯科・小児歯科・口腔外科・インプラント・マイオブレス小児矯正
ホワイトニング・インビザライン矯正)の歯科医師、今村佳代
-目次-
1)素材の進化:美しさが健康に繋がる理由
2)笑顔が一番!自信を取り戻す心の変化
3)審美治療は「歯を守る予防投資」
4)当院でできる主な審美治療
1. 素材の進化:美しさが健康に繋がる理由
「審美歯科」と聞くと、「歯を白くする」イメージが先行しがちですが、
実は使用する素材が「お口の健康」を根本から守るという、嬉しい意外な効果があります。
セラミックは天然歯と見分けがつきません。
🦷 見た目も機能もトップクラス!「虫歯が減る」仕組み
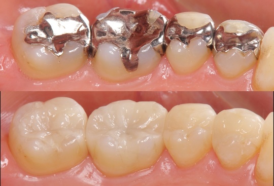
かつて主流だった「銀歯」は、目立つだけでなく経年劣化で変形したり、
金属アレルギーの原因になるリスクがありました。
それに代わるセラミックやジルコニアには以下の大きなメリットがあります。
天然歯そっくりの透明感
セラミックは天然歯のような光沢を持ち、笑った時に治療跡が目立ちません。
光の透過性まで再現するため、非常に自然な口元になります。
細菌がつきにくい特性
表面が非常に滑らかで、細菌の温床となる歯垢(プラーク)が付着しにくく、
清掃しやすいという特性があります。
これにより、治療した歯の周りに虫歯の原因菌が溜まりにくい環境を作れます。
金属アレルギーの心配ゼロ: 当院で使用するセラミックは金属を一切使わないため、
体質を問わず安全に使用でき、将来的な金属アレルギーのリスクもありません。
美しく、かつ汚れにくいという特性は、治療した歯の寿命を延ばし
二次的な虫歯を予防するという、最高の健康効果を生み出します。
2. 笑顔が一番!自信を取り戻す心の変化
審美歯科治療は、機能的な改善に留まらず、私たちの「心の健康」と「生活の質(QOL)」に大きく貢献します。

📈 笑顔が変わると人生が変わる
口元にコンプレックスを抱えていると、無意識のうちに人前で口元を隠したり、
心から笑うことをためらったりしてしまいます。
ある調査では、審美治療を受けた方の90%以上が、治療後「以前より自信を持って笑えるようになった」と回答しています。これは、コンプレックスの解消が、積極性や社交性の向上に直結している証拠です。
さらに、白く整った歯は、他人に対して清潔感、誠実さ、若々しさといったポジティブな印象を与えます。
ビジネスシーンでもプライベートでも、コミュニケーションがより円滑に進む効果が期待できます。
審美治療は、見た目を通じて心のバリアを取り払い、患者様の積極的な人生を支える重要な医療なのです。
3. 審美治療は「歯を守る予防投資」
審美治療は、保険治療よりも費用が高くなるケースが多いですが、
これは「再治療を繰り返さないための予防投資」と考えることができます。
🎯 なぜ長期的に歯を守れるのか?
審美素材(セラミックなど)は、高い技術を用いて、非常に精密に歯に適合させることができます。
この「精密さ」こそが、歯を守る最大の鍵です。
隙間ゼロで再発を防ぐ: 精密な被せ物は歯との間に細菌が入り込む隙間をほとんど作りません。
一方、銀歯は劣化でわずかに変形しやすく、この隙間から細菌が侵入し、
二次的な虫歯(再発)を引き起こすリスクが高いのです。審美治療は、この再発リスクを防ぐことが期待できます。
歯へのダメージを最小化: 再治療を繰り返すたびに、健康な歯質が削られていき、
最終的には抜歯につながる可能性が高まります。審美治療でしっかりと長持ちさせることは、
再治療による歯へのダメージを回避し、ご自身の歯の寿命を延ばすことにつながります。
初期費用はかかっても、「将来の大きな治療費大切なご自身の歯を守るための投資」として、
審美治療は非常に合理的な選択です。
4. ハート歯科でできる主な審美治療
・オールセラミック治療
・ダイレクトボンディング(添付画像は治療の様子です)
その他、オフィスホワイトニング・ホームホワイトニングなどもご提案させていただいてます!
まとめ:審美歯科治療は、見た目の改善だけでなく、長期的に歯を守り
豊かな人生を送るための重要な一歩です。
一人でも多くの方のお悩みに寄り添い最適な笑顔と健康を
当院では、患者様のお悩みやライフスタイルを詳しくお伺いし、
最適な治療計画のご提案を心がけております🦷✨
お口のことでお悩みの方、お気軽にご相談くださいね✏