保険の被せ物と自費の被せ物の違いとは? 〜見た目・耐久性・機能性を徹底比較!!〜
むし歯治療で「被せ物」を作る時、保険と自費のどちらを選ぶか迷われる方が多くいらっしゃいます。
費用面の違いだけでなく、見た目・耐久性・将来のむし歯リスクにも大きな差があります。
そこで今回は、保険と自費の被せ物の違いを分かりやすく解説いたします。
こんにちは!福岡県飯塚市鯰田にあるハート歯科クリニックいまい(予防歯科・矯正歯科・審美歯科・小児歯科・口腔外科・インプラント・マイオブレス小児矯正・ホワイトニング・インビザライン矯正)の歯科医師、重信 圭佑です。
★なぜ被せ物には「保険」と「自費」があるの?
むし歯が大きく歯を削った場合、歯全体を守るため被せ物(クラウン)を入れます。
その際の選択肢が保険診療の被せ物・自費診療の被せ物
の2種類です。
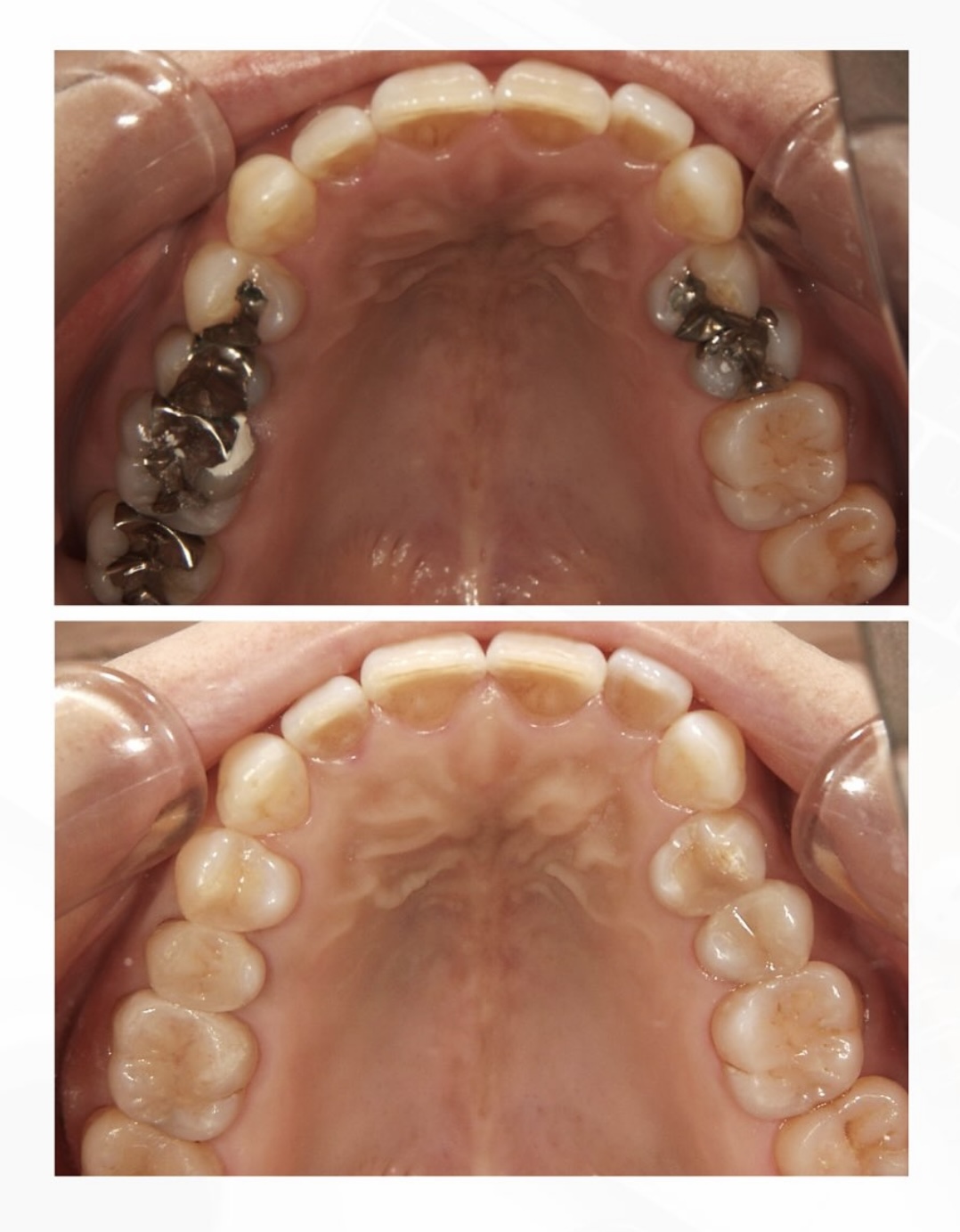
保険診療は国が使用できる材料や形を限定しており、治療費を抑えられる代わりに、見た目や耐久性に制限があります。
一方、自費診療は制限がなく、より審美性・強度・適合精度に優れた材料を選べるのが特徴です。
★見た目の違い(審美性)

保険の多くは銀歯で、笑ったときに見えると気になる方も多いです。
近年は前歯に限り保険でも白い被せ物(硬質レジン前装冠)が使えますが、経年で 変色 しやすい傾向があります。
一方、自費のセラミック(ジルコニア/e.maxなど)は
✓ 天然歯のような透明感
✓ 変色しにくい
✓ 長期的に美しさが続く
のが大きな魅力です。
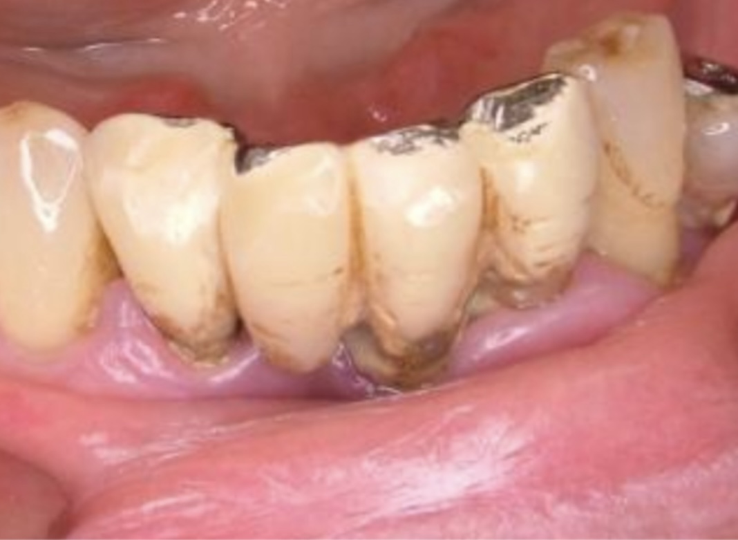
★耐久性の違い(金属アレルギーにも注意)

保険の銀歯には金属が含まれるため
・経年劣化で金属イオンが溶け出す
・歯ぐきが黒く見える(メタルタトゥー)
・金属アレルギーの原因になることも
というリスクがあります。
セラミックは生体親和性が高く
✓ 金属アレルギーの心配がない
✓ 腐食しない
✓ むし歯の再発リスクが低い(精密フィット)
と言われています。
★噛み合わせ・機能性の違い
保険の材料は歯との適合精度が自費に比べ劣ることがあります。
隙間ができると、その部分にプラークが溜まり
→ むし歯再発のリスクが高まることも。

自費の被せ物は
✓ 精密に作られるため隙間が少ない
✓ 噛み合わせの微調整がしやすい
→ 長く歯を守れる可能性が高いです。
★保険の被せ物のメリット・デメリット(分かりやすく)
✔メリット(良いところ)
•費用が抑えられる(健康保険が適用されるため)
•治療期間が短く済むことが多い
•最小限のコストで噛む機能を回復できる
▲デメリット(気を付けたいところ)
•銀歯が目立つ:笑ったときに見える場合がある
•変色・劣化しやすい材料もある(プラスチック材料など)
•金属アレルギーのリスク(銀歯の経年腐食による)
•歯との境目が劣化しやすく、むし歯が再発しやすい
★自費の被せ物のメリット・デメリット(理解しやすく)
✔メリット(良いところ)
•見た目がとても自然:自分の歯と見分けにくい
•変色しにくい:長期的に美しさが続く
•精密なフィットで隙間が少なく、むし歯の再発を防ぎやすい
•金属不使用(メタルフリー)でアレルギーの心配がない
•歯ぐきの黒ずみが起きにくい
▲デメリット(気を付けたいところ)
•費用は保険より高額
•材料により、強度や適応部位の違いがあるため
★ どちらを選べばいい?選び方のポイント
こんな方は自費治療がおすすめ!!!
•見た目を自然にしたい
•むし歯の再発リスクを下げたい
•金属アレルギーが不安
•長期的に歯を守りたい
★まとめ★
保険診療と自費診療には、それぞれ「費用」「見た目」「歯の寿命」などにおいて違いがあります。
どちらが良い・悪いということではなく、患者さんお一人おひとりのお口の状態やご希望に合わせて選ぶことが大切です。
「見た目が気になる」「長く使える素材を選びたい」「金属アレルギーが不安」など、
お悩みや優先したいポイントは、ぜひ遠慮なくお聞かせください。
私たちは、飯塚市で審美歯科やインプラントにも対応し、
できるだけ痛くない治療を心がけながら、患者さんに寄り添ったご提案を行っています。
被せ物選びは、これから先の歯の健康に直結する大事なステップです。
一緒に相談しながら、とってベストな選択を見つけていきましょう✨
気になることがあれば、いつでもお気軽にお問い合わせください。
▼ハート歯科の審美歯科について