前歯を1日で回復!ダイレクトボンディングから生まれた最新治療「ダイレクトクラウン」
歯をできるだけ削らず、1日で自然な見た目を取り戻す「ダイレクトクラウン」。
高度な接着技術を利用した、審美性とスピード、どちらも叶える新しい治療法です。
忙しい方や、歯を大切にしたい方におすすめの最新治療をご紹介します。
こんにちは!福岡県飯塚市鯰田にあるハート歯科クリニックいまい(予防歯科・矯正歯科・審美歯科・小児歯科・口腔外科・インプラント・マイオブレス小児矯正・ホワイトニング・インビザライン矯正・マイクロ・ダイレクトボンディング)の歯科医師、柴田拓也です。
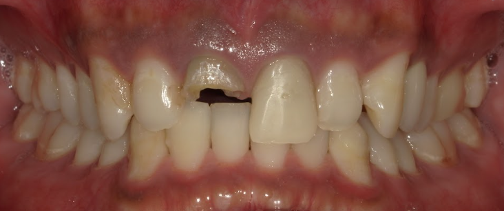
「前歯が欠けてしまったけれど、なるべく削らずにきれいに治したい」
「できればその日のうちに治したい」
そんな方におすすめなのが、ダイレクトクラウンです。
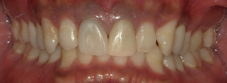
ダイレクトクラウンは、前歯の根っこが残っていれば、1日で自然な歯を再現できる治療法。
従来の差し歯治療のように土台を立てたり、技工所に依頼したりする必要がありません。
見た目の美しさと歯へのやさしさを両立した、今注目の審美歯科治療について詳しくご紹介します。
目次
-
ダイレクトクラウンとは?
-
ダイレクトボンディングのメリット
-
ダイレクトクラウンと従来の治療との違い
-
こんな方におすすめ
-
まとめ
1. ダイレクトクラウンとは?
「ダイレクトクラウン」とは、ダイレクトボンディングの技術を応用した新しい治療法です。
ダイレクトボンディングとは、歯に直接コンポジットレジンという樹脂を盛り付け、光で硬化させて形や色を整える治療法で、歯を削る量が少なく、自然な見た目に仕上げられるのが特長です。
その中でもダイレクトクラウンは、根っこだけが残っているような前歯を1日で回復できる方法。
通常は土台を立てて被せ物を作る必要がありますが、ダイレクトクラウンでは、高度な接着技術を活用して残った歯に直接レジンを積み上げて形成するため、歯へのダメージを最小限に抑えながら、スピーディーに見た目と機能を取り戻すことができます。
2.ダイレクト治療のメリット
🔹 歯をできるだけ削らない
虫歯や欠けた部分だけを最小限に処置するため、健康な歯をしっかり残すことができます。
削る量が少ないほど、歯の寿命を長く保つことができます。
🔹 その日のうちに治療が完了
技工所に依頼せず、歯科医院内で全て仕上げるため、1回の来院で自然な見た目まで完成します。
🔹 自然な色や質感を再現できる
歯の色調に合わせて何層にもレジンを重ねることで、まるで本物の歯のような透明感やツヤを再現できます。
🔹 やり替えもスムーズ
経年劣化があっても、部分的に修復や再研磨ができるため、長期的にも安心です。

↓

3.ダイレクトクラウンと従来の治療との違い
従来の差し歯治療では、歯を大きく削って土台を立て、その上に被せ物(クラウン)を装着します。
この方法は強度面では安心ですが、どうしても歯の神経や健康な部分を多く削る必要がありました。
一方、ダイレクトクラウンは、残った歯質をできるだけ活かし、直接レジンを積み上げて歯の形を作る治療法です。
そのため、歯への負担が少なく、金属や土台を使用しないためアレルギーの心配もありません。
さらに、技工所への依頼を必要としないため、即日で自然な歯を再現できるのも大きなメリット。
「歯を削らずに見た目を整えたい」「時間をかけずに修復したい」という方にとって、非常に優れた選択肢です。
4.こんな方におすすめ
-
前歯が欠けてしまった
-
差し歯や詰め物の色が浮いて気になる
-
歯をあまり削りたくない
-
忙しくて通院回数を減らしたい
特に、「今すぐ笑顔を取り戻したい」「自然な見た目を1日で叶えたい」という方には、ダイレクトクラウンはとても相性の良い治療です。

5. まとめ
ダイレクトクラウンは、歯にやさしく、見た目も自然に仕上がる審美歯科治療です。
歯を削る量を最小限にしながら、美しさと機能を両立できるのが最大の魅力。
ハート歯科クリニックいまいでは、精密な接着技術と審美的な仕上がりにこだわり、患者さま一人ひとりに合った治療をご提案しています。
気になる方は、ぜひ一度ご相談ください。