親知らずは絶対抜かないといけないの?
親知らずにお痛みがある方。
痛みはないけれども抜いたほうがいいか悩まれている方。
今回は親知らずに関してお悩みの方へ、抜歯の必要性についてご説明していきます。
こんにちは!福岡県飯塚市鯰田にあるハート歯科クリニックいまい(予防歯科・矯正歯科・審美歯科・小児歯科・口腔外科・インプラント・マイオブレス小児矯正・ホワイトニング・インビザライン矯正)の歯科医師、今井光です。
みなさん親知らずについてどれくらいご存じでしょうか。
今回は、親知らずって?生えてきたら絶対に抜かないといけないの?といった疑問について詳しくお話していきます!
そもそも親知らずとは!?
正式名称は「第三大臼歯」で、智歯(ちし)とも呼ばれています。永久歯の中で最後に発育し、生える時期が10代後半から20代前半であることから、親に知られることなく生えてくる歯、ということがその名前の由来だとも言われています。
親知らずは抜かないといけないの?
親知らずは抜くべき場合と、抜かなくていい場合があります。
親知らずを抜くべき場合だと、大まかに以下のケースに分けられます。
1.痛みや腫れがある
親知らずは歯列の中でも一番奥の歯であるため歯磨きが難しく、虫歯や歯周病になりやすいです。虫歯によって痛みが出る、もしくは歯周病菌が親知らずの周囲に感染することによって智歯周囲炎という病気を起こすことがあります。 これらの場合には痛みや腫れをともないます。 また智歯周囲炎は埋まっていない親知らずでも、上の歯との噛み合わせの刺激で起こる場合があります。
2.歯並びに悪影響が出ている、もしくは手前の歯を溶かしている
親知らずは横向きに生えることが多いです。 横向きに生えた親知らずは手前の歯をグイグイと押し、歯並びに悪影響を与えることがあります。
また、横向きに生えた親知らずが手前の歯を押し、根っこが溶かされてしまうことがあります。

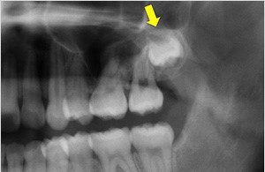
3.腫瘍や嚢胞の原因になっている
親知らずが原因で含歯性嚢胞(がんしせいのうほう)などの嚢胞や腫瘍ができる可能性があります。

4.矯正治療を行う
今後矯正治療を行う場合であったときに、歯を動かす妨げになることがあり、その場合は親知らずを最初に抜く可能性があります。
そして親知らずを抜かない場合だと、以下のケースが挙げられます。
1.親知らずが上下ともにきちんと生え、噛みあっており、また矯正をする予定がない

2.顎の骨の中に完全に埋まっていて、まわりの歯や骨に悪影響を与えることがないと考えられ、矯正をする予定がない

つまり痛みや腫れがなく、親知らずが正常に生えて機能している場合には抜歯の必要はありません。
ですが先にも述べた通り、親知らずは一番奥に生えているため歯ブラシが届きにくく虫歯にもなりやすいです。
今現在痛みや腫れがなかったとしても、しっかり歯ブラシやタフトブラシなどでプラークを除去していきましょう!
もし親知らずで悩んでいる方、もっと詳しいお話が聞きたい!といった方がいらっしゃいましたら、いつでもご相談しにきて下さい🥰
お待ちしております!!
ハート歯科クリニックいまい HP
↓↓↓↓
https://heart-dental.jp/