エアーフロー(歯面清掃機器)
ハート歯科ではエアーフロー(歯面清掃機)の導入を考えております!そこでエアーフローとはどんなものなのか?説明いたします。
CASE RECORDS
歯の豆知識
ハート歯科ではエアーフロー(歯面清掃機)の導入を考えております!そこでエアーフローとはどんなものなのか?説明いたします。
歯の治療にとって、とても重要な役割をしている仮歯。 よい被せ物をつくるためにも、仮歯の重要性をぜひ知ってくださいね!
ご年配の方から最近歯の色が気になるんだけど・・・という相談をよく耳にします。 そこで加齢による歯の変色について説明します
歯科医院に行くと、保険の銀歯にしますか?自費のセラミックにしますか?と尋ねられることがあると思います。 今回は両者のメリット、デメリットについて説明したいと思います。 また、セラミックスのジルコニアについてもご紹介したいと思います。
歯並びが悪いと歯や、健康にとってあまりよくありません。歯並びを改善、予防していつまでも美味しくご飯を食べたいですね♪
ハート歯科ではポリリン酸を使用したホワイトニングを行なっています♩
ほとんどの方が歯は常に白くありたいと思います。しかし、生活する上で着色はつきものです。その着色の原因と解決法をお話ししたいと思います。
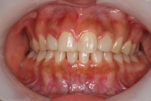
ホワイトニングとセラミックの歯で自然な歯に♪
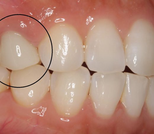
ラミネートベニアという方法で前歯のかたちを審美的にできました。 歯石除去・クリーニングによって大変清潔な口腔環境となりました。