審美歯科アンケート
ホワイトニングとセラミックの歯で自然な歯に♪
こんにちは。飯塚市鯰田ハート歯科クリニックいまい(一般歯科、小児歯科、矯正、審美歯科、小児矯正、ホワイトニング)の久保です。
審美歯科治療の症例をご紹介いたします。
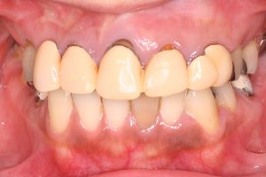
以前治療した差し歯の色や歯茎の隙間が気になるとのことで
差し歯のやりかえとホワイトニング(タッチアップ)を行いました。
保険の歯や中に金属が入っている差し歯などは
年月が経つと、歯と歯茎の境から金属が見えてしまったり
隙間が開くことがあります。

この歯と歯茎の隙間や中の金属が見え始めて気になられている方
多いのではないでしょうか?
患者様とご相談のうえ
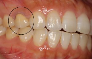
今回は中の金属が見えないように
すべて白い素材でできている オールセラミック での
やりかえを行いました。
オールセラミックとは・・
すべてセラミック(陶器)で出来ている素材のかぶせもので
透明感があり自然の歯に一番近い色合いになります。

術前

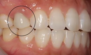
術後

一見かぶせものが入っているとは分からないですよね??
合わせてホワイトニングを行いましたので
自分の歯のようにとてもなじみよく仕上がります。
【アンケート】
Q治療前はどのようなことが気になっていましたか?
昔に治療した被せた歯の色とまわりの歯の色が
違うのが気になっていました。
被せた歯の舌触りがよくなかった。
Q治療を終えて今のお口の状態はいかがですか?
ホワイトニングをしてから、周りの歯の色に
あわせて被せものを作ってもらえたので
本物の歯をとりもどせたようで嬉しいです。
友人や家族からも褒められてとても満足しています。
今の状態を保っていけるようにしていきたいです。
セラミックのかぶせものを作成する時は
一度仮歯を入れます。
そちらの調整を行いながら歯茎もしっかり整えていきますので
少しお時間はかかりますが、とても
仕上がりよく出来ます。
現在の差し歯が気になられる方、自然な見た目にされたい方など
ぜひハート歯科でご相談くださいね^^
ーーーーーーーーーーーーーーーーーーーーーー
飯塚市鯰田2517-101
ハート歯科クリニックいまい
☎0948-23-8102