セラミック治療で白い歯を手に入れる!
口を開けたときに銀歯が見えるのが気になる…。そんな悩みを解決してくれるのがセラミック治療です。自然な見た目と耐久性を兼ね備え、これから先も自信を持って笑える歯を手に入れることができるのが大きな特徴です。ここではセラミック治療について詳しく解説いたします。
こんにちは!福岡県飯塚市鯰田にあるハート歯科クリニックいまい(予防歯科・矯正歯科・審美歯科・小児歯科・口腔外科・インプラント・マイオブレス小児矯正・ホワイトニング・インビザライン矯正・マイクロ・ダイレクトボンディング)の歯科医師、今村佳世です。
目次
はじめに
1. セラミックとは?自然な歯に近づける素材
2. 保険でできる白い歯との違い
3. セラミックの種類ごとの特徴
4. むし歯の再発を防ぎやすい
5. 体にやさしい素材
6. 費用と治療の選び方
7.まとめ
本文
はじめに
歯の治療で「セラミック」と聞くと、美しくて高価な治療というイメージを持つ方が多いのではないでしょうか。確かにセラミックは自費診療となることが一般的ですが、その分、見た目の自然さ・耐久性・体へのやさしさといった点で大きなメリットがあります。また、最近では「保険でできる白い歯」も登場し、患者さまの選択肢が広がってきました。ここでは、セラミック治療の特徴や種類の違い、そして保険治療との比較をわかりやすくお伝えします。
⸻
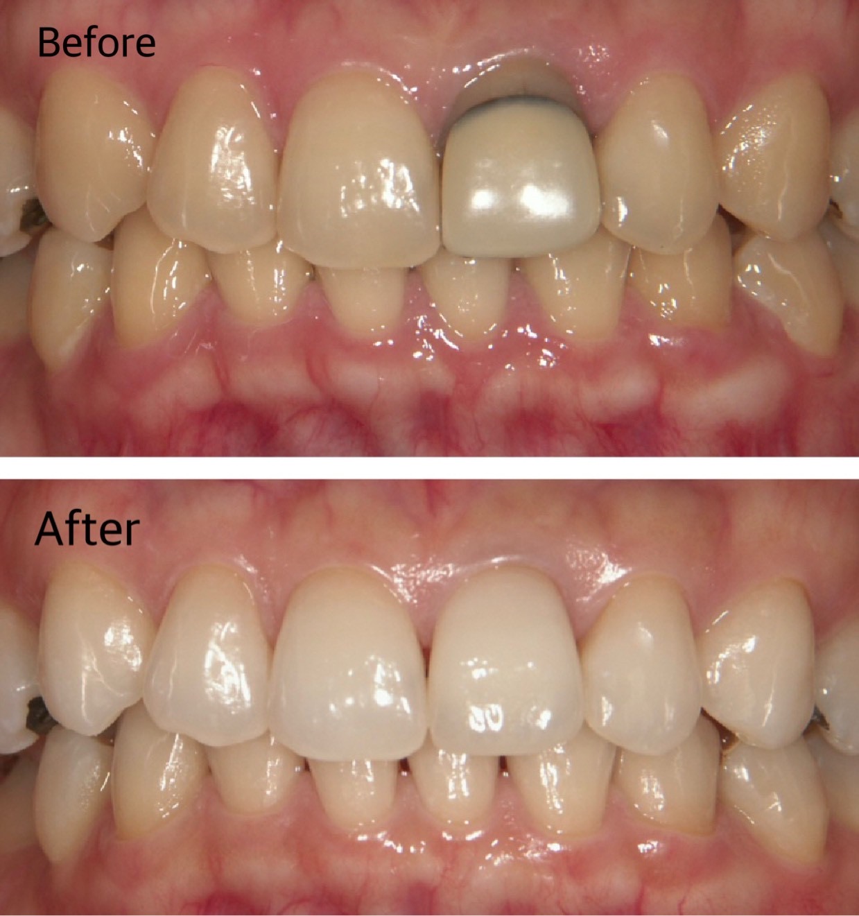
1. セラミックとは?自然な歯に近づける素材
セラミックは陶器の一種で、歯科用に特別に強度と透明感を高めて作られた素材です。金属を使用しないためアレルギーの心配がなく、歯ぐきが黒ずむこともありません。天然歯のような色合いや透明感を再現でき、「治療したのがわからないほど自然」に仕上がるのが大きな魅力です。

⸻
2. 保険でできる白い歯との違い
近年は「CAD/CAM冠」という、保険で使える白い材料も登場しました。条件を満たせば奥歯にも使用でき、経済的に白い歯を入れられる点は魅力です。ただし、CAD/CAM冠はレジン(プラスチック)が主成分のため、経年によって黄ばみやすく、強度もセラミックに比べると劣ります。
一方でセラミックは変色に強く、長く美しい状態を維持しやすいのが特徴です。つまり「とりあえず白くしたい方」には保険治療が向きますが、「長く自然な白さを維持したい方」にはセラミックが有利といえるでしょう。
⸻
3. セラミックの種類ごとの特徴
セラミックにもいくつかの種類があり、部位や目的に応じて選択されます。代表的なものは次の3つです。
• オールセラミック(e.maxなど)
高い透明感があり、前歯の治療に最も適しています。自然な白さを再現でき、審美性に優れます。
• ジルコニアセラミック
人工ダイヤモンドに例えられるほどの強度を持ち、奥歯やブリッジ治療に使用可能です。白い色調ですが、オールセラミックに比べると透明感はやや劣ります。
• メタルボンドセラミック
内側に金属を使い、その外側をセラミックで覆ったタイプです。強度は高いものの、歯ぐきが下がると金属が見える可能性があります。
それぞれに利点と注意点があり、どの種類が最適かは歯科医師と相談して決めることが重要です。
⸻
4. むし歯の再発を防ぎやすい
セラミックは歯との適合性が高く、接着剤とも強固に結合するため、治療した部分と歯の間にすき間が生じにくいのが特徴です。そのため、金属やレジンに比べて「二次むし歯」のリスクを減らせるといわれています。長く健康な歯を保ちたい方にとって、大きなメリットとなります。
⸻
5. 体にやさしい素材
金属を使う治療では、まれに金属アレルギーや歯ぐきの黒ずみ(メタルタトゥー)が起こることがあります。セラミックは金属を含まないためその心配がなく、生体親和性も高いことから体にやさしい素材です。長期間安心して口の中に入れておけるというのは、見た目以上に大切なポイントです。

⸻
6. 費用と治療の選び方
セラミックは基本的に保険がきかず、自費診療となります。1本あたり数万円から十数万円と高額ですが、その分、長期的に美しさと耐久性を兼ね備えています。
一方、保険のCAD/CAM冠は安価に白い歯を入れることができますが、変色や破折のリスクは高めです。
• できるだけ費用を抑えたい → 保険のCAD/CAM冠
• 長く美しく強い歯を保ちたい → セラミック
このように、希望や予算に合わせて選択することが大切です。

⸻
まとめ
セラミックは、自然な見た目・変色のしにくさ・むし歯の再発リスクの低さなど、多くの利点を持つ治療法です。保険でできる白い歯も選択肢のひとつですが、より長く美しさと健康を維持したい方にはセラミック治療が適しています。治療方法を選ぶ際には、ご自身の希望やライフスタイルを歯科医師にしっかり伝えることが大切です。
ハート歯科クリニックいまいでは、患者さま一人ひとりのお口の状態やご要望を丁寧に伺い、最適な治療方法をご提案しております。セラミック治療にご興味をお持ちの方は、まずはお気軽にご相談ください。あなたの「自然で美しい笑顔づくり」を、私たちが全力でサポートいたします。
ハート歯科HP詳細→https://heart-dental.jp/cosmetic-dentistry
症例紹介→https://heart-dental.jp/case-shinbi