マイクロスコープで変わる“見えない精度”
削らず・痛くなく・美しく。
マイクロスコープで見える“ミクロの世界”が、
あなたの歯をより自然に、より長持ちさせます。
こんにちは!福岡県飯塚市鯰田にあるハート歯科クリニックいまい(予防歯科・矯正歯科・審美歯科・小児歯科・口腔外科・インプラント・マイオブレス小児矯正・ホワイトニング・インビザライン矯正・マイクロ・ダイレクトボンディング)の歯科医師、柴田拓也です。
皆さんは「マイクロスコープ治療」という言葉を聞いたことがありますか?
マイクロスコープとは、最大で20倍以上に拡大して歯を観察できる“歯科用顕微鏡”のことです。
テレビの医療ドラマなどで、外科医が顕微鏡を覗きながら手術をしているシーンを見たことがある方も多いと思います。
実は、歯科の世界でもこのマイクロスコープが急速に広まり、精密な治療を可能にしています。

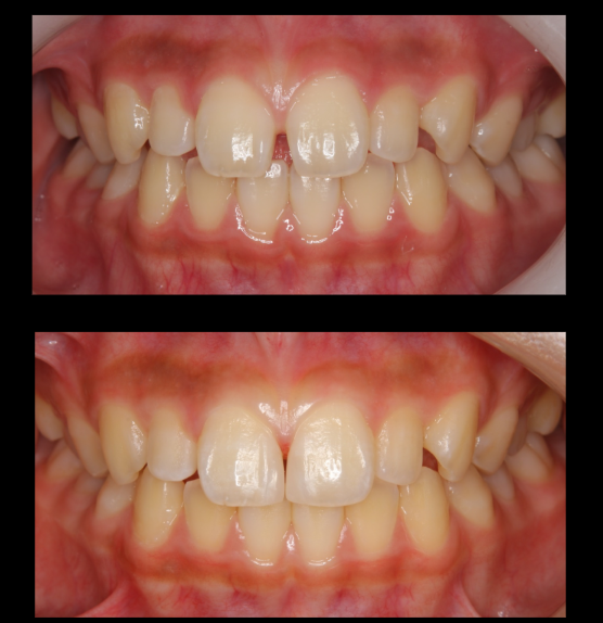
当院では、特に**ダイレクトボンディング(コンポジットレジン修復)**にこのマイクロスコープを積極的に活用しています。
「え?小さな虫歯や前歯の隙間を埋めるだけなのに、顕微鏡が必要なの?」と思われるかもしれません。
しかし、この“見えるか見えないか”の差こそが、仕上がりや長持ちに大きく影響するのです。
👀 肉眼では見えない「境界」が見える
ダイレクトボンディングは、歯をできるだけ削らずに、特殊なレジン(樹脂)を直接歯に盛りつけて形を整える治療です。
天然の歯とレジンの境目が目立たないように仕上げるには、非常に繊細な操作が求められます。
しかし、肉眼では0.1mm単位の境界や微細な段差を見分けることは困難です。
その結果、ほんのわずかな“段差”や“隙間”が生じ、そこから再びむし歯が発生することもあります。
マイクロスコープを使うことで、
・歯の表面の細かなクラック(ヒビ)
・レジンと歯の境界のなめらかさ
・研磨後の微小な凹凸
などをリアルタイムで確認しながら治療できます。
これにより、歯とレジンの境目を限りなく自然に仕上げ、再治療リスクを最小限に抑えることができるのです。

💎 審美性が格段にアップ
マイクロスコープのもう一つの大きなメリットは、「色の再現性」です。
ダイレクトボンディングでは、歯の内部の透明感や層構造を模倣するために、複数の色のレジンを重ねて再現していきます。
このとき、光の透過や細かな色の境界を確認できるかどうかが、最終的な自然さを左右します。
マイクロスコープを通して観察すると、歯の質感や光沢、表面の微妙な凹凸まで見えるため、
・自然光の下でも違和感のない透明感
・歯と調和したグラデーション
・微細な表面テクスチャーの再現
といった、まるで“本物の歯”のような美しさを表現できます。
「どこを治したのか分からない」と言われるような仕上がりは、この技術の賜物です。

🦷 歯を「守る」ためのマイクロスコープ
マイクロスコープ治療は見た目だけでなく、歯の寿命を延ばすという意味でも非常に重要です。
従来のように大きく削って詰め物をする治療では、健康な歯質まで失われることがあります。
しかし、マイクロスコープを使えば、
「悪くなった部分だけを、正確に取り除く」ことができます。
つまり、削る量を最小限にし、健康な歯をできるだけ残すことが可能なのです。
また、接着面の汚れや唾液の混入も拡大視野でコントロールできるため、
接着不良による剥がれや再感染のリスクも大幅に低減します。
✨ 小さな違いが、大きな結果に
マイクロスコープによるダイレクトボンディングは、
一見すると「細かすぎる」「大げさ」と感じられるかもしれません。
しかし、その0.1mm単位のこだわりが、
・再治療を防ぎ、
・見た目を自然にし、
・歯の寿命を延ばす
という大きな成果につながります。
特に前歯の審美修復など、“見た目と精度の両立”が求められる治療では欠かせない存在です。
当院では、すべてのダイレクトボンディング治療において、
マイクロスコープと高倍率ルーペを併用し、再現性と精密さにこだわっています。

🌿 まとめ
マイクロスコープを使ったダイレクトボンディングは、
「削らない」「美しい」「長持ちする」という3つの理想を叶える治療法です。
わずかな段差や色の違いも見逃さず、
あなたの歯をより自然で、より健康的な状態に導きます。
「前歯の小さな欠けが気になる」
「昔の詰め物の色が合わない」
そんな方は、ぜひ一度ご相談ください。
マイクロスコープでしか見えない世界が、
あなたの笑顔をより美しく輝かせます。