歯の着色はなにが原因?ホワイトニングできる?
歯の着色につながりやすい食べ物や習慣、着色への対策についてお話しします!
福岡県筑豊地区飯塚市にあるハート歯科クリニックいまい『予防歯科・審美歯科・小児歯科・矯正歯科(マイオブレースシステム矯正,インビザラインシステム矯正)・インプラント・ホワイトニング』の歯科医師の仲宗根美由紀です。
「歯の黄ばみが気になる」
「元々はもう少し白い歯だったのに」
そんなお悩みはありませんか?
歯の着色の原因には、内部からの原因と外部からの原因に分けられます。
⒈内部からの着色
◉加齢による歯の黄ばみ
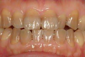
加齢によって、歯の1番外側にある「エナメル質(白色透明)」が徐々にうすくなり、内側の象牙質が透けてみえやすくなるため、黄色に変色していきます。
◉抗生物質による着色
歯をを作る時期(0歳から12歳頃までの間)にテトラサイクリン系のお薬を服用すると、歯の着色を起こします。

グレー色、ブラウン色などが横縞模様として歯の表面に現れます。
そのため、妊娠期〜授乳中、12歳のまでの小児へよテトラサイクリン服用は避けるべきとされています。
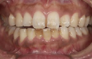
2.外部からの着色
次の項目に当てはまる人は、外部からの歯の着色(ステイン)が起きやすいかもしれません。
♣︎ステイン習慣チェック!
□コーヒーや紅茶をよく飲む
□緑茶やウーロン茶が好き
□白ワインよりは赤ワイン派
□タバコを吸う
□チョコレートをよく食べる
□お口の乾燥が気になる
□カレーを月2回は食べる
□香味野菜(ネギ、ニラ)が好き
いくつ当てはまりましたか?
つまり、色素の濃い食べ物や飲み物をよく摂ること、タバコを吸う習慣があることで、歯の表面に着色しやすくなります。

タバコは歯の表面だけでなく、歯茎や唇にも着色を起こし、黒ずませてしまいます。
3.歯の着色への対策方法
◉色の濃いものを極力控える。
◉着色しやすいものを口に入れたら、早めに口をゆすぐか水を飲む。
◉タバコは控える。
◉研磨剤入りの歯磨き粉を使う。
当院では、ステイン除去に「ブリリアント」をオススメしています。

◉定期的な歯科医院でのクリーニング
プロによるブラッシング、専用機械での仕上げ研磨でツルツルに仕上げます。

普段歯磨きを頑張っていらっしゃる方でも、2〜3ヵ月で歯石やバイオフィルム(が付いてしまいます。これは歯ブラシでは取れません。歯の表面がザラザラになり、より着色が起きやすなってしまいます。
定期クリーニングで、むし歯・歯周病予防とともに、歯の白さ、表面のツルツルさも保ちましょう。
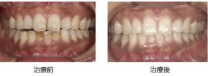
◉ホワイトニング
歯科医院で行うホワイトニングは、プロのクリーニングの後に、専用のお薬によって着色成分を分解します。

外部からの着色、内部からの着色にも対応いたします。
「忙しくて歯科に通うのが難しい」という方には、ホームホワイトニングもご用意できますのでご相談ください。