矯正検査のセファロレントゲンとは???
矯正治療を行う際には、様々な検査が必要となります。その1つであるセファロレントゲンについてご説明致します。
福岡県筑豊地区飯塚市にあるハート歯科クリニックいまい『予防歯科・審美歯科・小児歯科・矯正歯科(マイオブレースシステム矯正,インビザラインシステム矯正)・インプラント・ホワイトニング』の歯科医師の仲宗根美由紀です。
矯正治療を行うにあたって、まずは「矯正検査」が必要となります。
〈矯正検査の内容〉

・写真撮影(口腔内、顔貌、横顔)
・パノラマレントゲン写真(正面からのレントゲン)
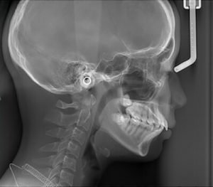
・セファロレントゲン写真(横からのレントゲン)
・型取り
・口腔内スキャン(3D シュミレーション)
今回は、この中のセファロレントゲン写真についてご説明致します。
【セファロレントゲンとは?】

簡単に言うと、横顔全体のレントゲン写真です。このセファロレントゲン写真を使って、顎の大きさや位置、歯の角度などを分析します。
【セファロ分析から何が分かるの?】
セファロレントゲン上で、様々な角度や長さを計測し、正常な場合の数値と比較していきます。

◉骨の分析1
頭の骨に対して、上顎/下顎が大きいor小さいのかを調べます。成長し過ぎているのか、もしくは成長が足りてないのかを分析します。
◉骨の分析2
上顎骨と下顎骨の関係を調べます。
例えば、上顎に対して下顎の位置が前にある(受け口)のか?それとも後ろに引っ込んでいるのか(相対的に出っ歯に見える)が分かります。
◉歯の傾きの分析

前歯が平均と比べて、前に傾いているのかor内側に倒れているのか角度を測ります。
◉矯正治療の難易度
下顎の骨の形や、角度を計測することで矯正治療の難易度の目安を出すことができます。
◉横顔での唇や頬のライン
セファロレントゲンでは、主に骨や歯といった硬組織を写し出します。しかし頬や唇といった軟組織もある程度写るため、横顔のラインをみる目安にもなります。
例えば、唇がどのくらい前に出ているのか、横顔の美しさの基準となるE-ライン(エステティックライン)はどうかを見ることができます。

【矯正治療前後の比較もできる】
矯正前の診断だけでなく、治療途中や治療後にもセファロレントゲンを撮影することがあります。
矯正前と後で、どのくらい顎の位置が変わったのか?歯の角度はどのくらい変化したのかを、重ね合わせて比べることができます。
計測を行うことで、数字としてどの程度正常値に近づいたのかを出すことも可能です。
いかがでしたか?少し難しい内容だったかもしれませんね。
矯正をしたいと考えている方や、そのご家族の方のお役に立てれば嬉しいです。
矯正相談は随時受け付けておりますので、お気軽にお問い合わせくださいね。