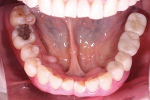
インプラント治療例(左下インプラント、70代女性)
CMでも目にする「インプラント」。イメージだけで、どんな検査をして、費用はいくらするのか分からない。そんな疑問にお答えします!
こんにちは。飯塚市鯰田ハート歯科クリニックいまい(一般歯科、小児歯科、矯正、審美歯科、小児矯正、インプラント、ホワイトニング)歯科医師の仲宗根美由紀です。
インプラントという治療自体は知っているけれど、実際お金はどの位かかるの?
見た目ってどんなかんじ?
様々な疑問があるかと思います。
今回は奥歯をインプラントにされた方の症例を、実際のお写真と共にご紹介します。
実際の治療例
【71歳女性】
主訴:左下の顎がガクガクするとのことでご来院されました。
また、
・左下奥歯がないところを咬めるようにしたい。
・保険適用の義歯を考えているが、インプラントも選択肢として考えている。
とのことでした。
術前

術後

【治療内容】
まず、主訴である顎のガクガク感に対する治療として、ナイトガードの製作・装着を行うことで、症状を軽減させました。
カウンセリング後、左下奥はインプラントをご希望されたため、CT撮影にて骨の状態を確認。
インプラントを埋入するために必要な、骨の量や厚み、骨密度が十分かを3次元的に確認し、埋入位置を計画。
今回は、左下奥にインプラントを2本を埋入しました。
上部構造は、メタルボンドクラウンという材料を使用しました。
(被せ物の内側が金属、外側の見える部分にはセラミックを使用)
外側が白いセラミックのため、見た目にも違和感がなく、噛む力に対しても強い材料となっております。
左下1番奥の親知らずに関しては、お口を開ける際の動きの阻害をしており、顎関節の負担になっていたため、患者さまに説明後、抜歯を行なっています。
【費用】
インプラント2本(25万円×2)+上部構造2本分(8万円×2)
合計66万円(税別)
【インプラントにおけるデメリット】
・適切な口腔ケアができなければ、インプラント周囲炎を起こす可能性があります。
・外科的な治療を必要とします。
【インプラントと他治療法の比較】

★噛む力
歯がない部分の治療法として、インプラント、ブリッジ、義歯があります。
噛む力は、インプラントが最も天然歯に近く、違和感も少ないので快適です。
義歯の場合、噛む力は自分の歯と比べて30%程度ともいわれています。
★見た目
保険義歯には、支えとなる金属のバネがあるため、見た目が良くない事があります。
インプラントは、隣の歯を削ったり、バネをかけたりする必要がないため、審美的な仕上がりになります。
自分に1番良い方法はどれなのか?
ハート歯科では、カウンセリングをしっかり行いますので、気になること、不安や疑問など、何でもお聞かせください。
お困りの方はお気軽にご相談くださいね♪