歯周病と全身疾患
みなさん歯周病ってご存知ですか?
歯周病って実は全身疾患にも関係するとってもコワ〜〜イ病気なんです。
今日はそんな怖い歯周病と全身疾患の関係についてお話します。

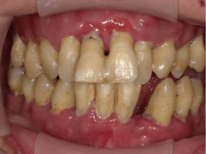
歯周病とは、細菌の感染によって引き起こされる炎症性疾患で、歯の周りの歯ぐき(歯肉)や、歯を支える骨などが菌によって溶かされてしまう病気です。
歯と歯肉の境目(歯肉溝)の清掃が行き届かないと、そこに多くの細菌が停滞し歯肉の辺縁が炎症を起こして赤くなったり、腫れたりします。痛みはほとんどの場合ありません。
さらに進行すると膿がでたり歯が動揺してきて、最後には歯を抜くことになってしまいます。
近年では、歯への影響だけでなく全身にも関係してくることがわかってきています。
糖尿病
歯周病の進行により産生する炎症性物質が血液中に入ると、インスリンの働きを低下させるため、血糖値が下がりにくくなります。
心臓病
動脈硬化を起こす要因の1つとして、歯周病が影響するといわれており、心臓に血液を送る血管が狭くなったり(狭心症)詰まったり(心筋梗塞)します。
また、心臓の内膜に歯周病菌がつくと、心内膜炎を引き起こし、命に関わることもあるのです。
骨粗しょう症
骨密度が低くなり、骨がもろくなる病気で、歯周病によって産生される炎症性物質が、全身の骨の代謝に悪影響を及ぼすことが要因の1つであるとかんがえられています。
肥満
歯周病が進行している人は、メタボリックシンドロームの発症が高まるとわかってきています。
*メタボリックシンドロームとは、内臓脂肪型肥満に加え、高血糖、高血圧、脂質異常などの動脈硬化の危険因子が2つ以上重なった状態のことをいいます。
脳梗塞
脳の血管が詰まったり、心臓にできた血栓が脳に送られて血管が詰まったりする病気です。歯周病にかかっている人は、そうでない人と比較して、脳梗塞になりやすいといわれています。
認知症
動脈硬化を起こす要因の1つとして、歯周病が影響するといわれており、脳血管性認知症の原因になる可能性があり、また、アルツハイマー型認知症との関係について可能性があるとも言われています。
誤嚥性肺炎
歯周病菌などのお口の中の細菌が、唾液や食べ物と一緒に誤って気管に、肺に入ると、肺炎発症のリスクが高くなってしまいます。
関節リウマチ
多くの研究から、歯周病の人は関節リウマチのリスクが高いことがわかっています。
低体重児出産・早産
歯周病によって産生された炎症性物質が血液中に入ると、低体重児出産が起こりやすくなってしまいます。
また、血液中に子宮の収縮を早める物質が生まれるため、早産も起こりやすくなるとされているのです。
歯周病の予防・治療を行うことで、全身の様々な病気のリスクを下げることが可能です。日々の歯磨き・口腔ケアを見直し全身の健康につなげていきましょう!
何か気になることがありましたらいつでもハート歯科クリニックいまいにご相談ください♪