インビザライン矯正〜よくある質問①
透明のマウスピースで目立たないインビザライン矯正…気になっている方も多いはず!今回はインビザライン矯正のよくある質問についてまとめました!
こんにちは!福岡県飯塚市鯰田にあるハート歯科クリニックいまい(予防歯科・矯正歯科・小児歯科・インプラント・ホワイトニング)の歯科医師の仲宗根美由紀です。
今回はインビザライン矯正(マウスピース矯正)において、よくある質問についてお答えします。
【治療の適応について】
Q.これまでにどれくらいの数の患者様がインビザライン治療を受けているのか?
A.世界で600万人(※2018年12月時点)以上の患者様がインビザライン治療を受けています。
Q.インビザライン治療は、すべての歯並びの問題に対応しているのか?インビザライン治療が適さない場合はあるか?
A.インビザラインは、軽度(前歯に隙間がある、重なっている、少し前に出ているなど)から中等度および複雑な歯並び(八重歯がありガタガタ、大きく凸凹しているなど)まで様々な歯並びの問題を治療できることが報告されています。

ただし、インビザライン治療が各患者様の歯並びの状態に適しているかどうかはドクターが判断します。
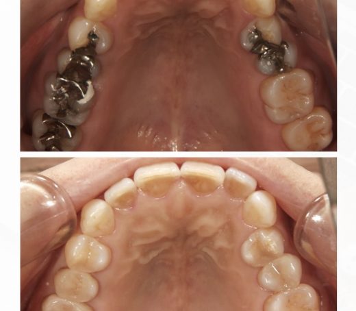
Q.歯に被せものをしているが、インビザライン治療はできる?
A.被せものをしている患者様でも、インビザライン治療を受けられます。ただし、歯の移動をサポートするためにアタッチメントと呼ばれるプラスチック製の樹脂を歯の一部につける場合があります。この場合は、ドクターが考慮した上で治療するので安心してください。
↓下の写真の、粒々と白く見えるポッチがアタッチメントです。
光で反射してますが、実際はあまり目立ちません。

Q.虫歯・歯の詰め物、歯肉・歯周の病気(歯肉炎や歯周病)があるが、インビザライン治療はできる?
A.インビザライン治療を受ける前に、虫歯や歯周病などの問題を解消しておくのが好ましいです。
インビザライン治療の途中で、虫歯の治療など行うと、マウスピースが合わなくなり、再製作が必要になることがあります。
Q.インビザライン治療に年齢の上限はある?
A.一般的にインビザライン治療に年齢の上限はなく、小児から成人まであらゆる年代の患者様まで治療が可能です。
特に成人の患者様の場合、透明のマウスピースで目立ちにくいインビザライン治療法は、これまでのワイヤー矯正につきものだった見た目の問題を気にすることなく、歯並びを整えることができます!

Q.ワイヤー矯正装置を取り外してから歯が後戻りしてしまった。インビザライン治療で治すことはできる?
A.インビザライン治療の患者様の中には、若い頃にワイヤー矯正治療を行った経験があるという方は多くいらっしゃいます。
通常インビザライン治療で、ワイヤー矯正での治療後に発生した後戻りを治療することが可能です。
審美性を保ちながら後戻りの治療をすることができます!
【治療の効果について】
Q.治療効果が現れるまで、どのくらいの時間がかかる?
A.インビザライン治療の効果は、治療を始めて数か月後から現れ始めますが、患者様によって異なります。
Q.治療後の歯並びがどのようになるか確認できる?効果が知りたい。
A.治療完了時の歯並びを画面で確認することができます。画面上に治療前の歯並びと治療後の歯並び、その途中経過を3D画像として表示できます。どのように治っていくのかが見れるのでモチベーションも上がりますね。

【治療中の疑問・トラブルについて】
Q.マウスピースを取り外した際に、時々歯がぐらぐらしているような気がする。どうすればいい?
A.インビザラインは歯をゆっくりと正しい位置へ移動させていきます。
歯が理想の位置へと動く過程でぐらつきを感じることがありますが、問題のないことが多いです。
Q.マウスピースが合わなくなった
A.マウスピースが合わなくなった時は、場合によっては治療のステージ1~2前のマウスピースを使用したり、
追加でマウスピースを作成する事があります。
Q.マウスピースが1つ割れてしまった
A.破損したマウスピースでは、歯を正しく移動させるために必要な力をかけられない場合が あるため、
続けて使用しないようにしてください。新しいものに交換する必要があります。
Q.紛失した
A.前回または次回のマウスピースを装着するよう指示される場合があります。
または、新しいマウスピースを注文する事もあります。(追加費用がかかります。)ドクターによる判断が必要なため、すぐにご連絡ください。
このような時のために、使い終わったマウスピース(直近3枚ほど)は捨てずに保管していて下さい。
Q.アタッチメントが破損したり、取れた場合は?
A.アタッチメントが破損したり取れてしまった場合は、すぐに支障がある訳ではありませんがインビザライン治療において大切なパーツですので早めの受診をおすすめします。
Q.アタッチメントが黄色く変色してしまった。どうすれば良い?
A.変色したアタッチメントを取り外し、交換する場合があります。
医院にご相談ください。
Q.アライナーに鋭利な部分がある。これは正常?
A.アライナーの装着により歯肉や頬に刺激を感じる場合は、ドクターがフィットを確認し、必要に応じて調整を行います。
間違った判断をしてしまうと歯の動きがおかしくなったり、治療期間に影響が出たりする可能性があります。
何か問題があった場合、不明な点がある場合はご自身の判断で先に進めたりせず、医院に連絡してくださいね^ ^
一緒に解決して行きましょう!