インビザライン症例

CASE

インビザライン症例

インビザライン症例


歯科

CASE1

インビザライン症例
インビザライン症例
インビザライン症例
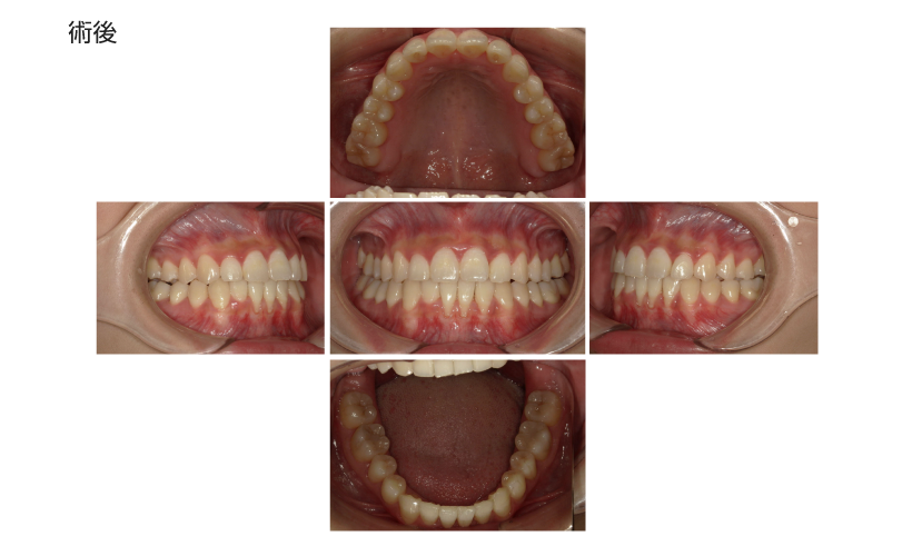
年齢・性別 20歳・女性
主訴 前歯の隙間が気になる
治療方法 インビザライン治療(非抜歯) 6か月
費用 ライトプラン60万円(税込み66万円)
メリット
  • 歯並びが整い、スマイルが綺麗になる
  • 歯磨きがしやすくなる(むし歯、歯周病リスク軽減)
  • 咬み合わせが良くなり、咀嚼機能向上
主なデメリット・副作用
  • 矯正装置による痛み、違和感がある場合がある
  • 治療期間中の虫歯や歯肉炎のリスク
  • 正しく装着しなければ綺麗な歯並び
歯科

CASE2

インビザライン症例
インビザライン症例
年齢・性別 30代・女性
主訴 上の前歯の並びを綺麗に揃えたい
治療方法 全顎インビザライン矯正(非抜歯)12か月
費用 レギュラープラン85万円(税込み93万5千円)
メリット
  • 歯並びが整い、スマイルが綺麗になる
  • 歯並びが整い、歯磨きがしやすくなる(むし歯、歯周病のリスクが下がる)
  • 咬み合わせが良くなり、咀嚼機能が向上する
主なデメリット・副作用
  • 矯正装置による痛み、違和感、話しづらさ
  • 治療期間中の歯みがきをしっかりしなければ、虫歯や歯肉炎になることがある
歯科

CASE3

インビザライン症例
インビザライン症例
年齢・性別 10代・女性
主訴 前歯が閉じない
治療方法 インビザライン治療(非抜歯) 1年10ヶ月
費用 レギュラープラン85万円(税込み93万5千円)
メリット
  • 歯並びが整い、スマイルが綺麗になる
  • 歯並びが整い、歯磨きがしやすくなる(むし歯、歯周病のリスクが下がる)
  • 咬み合わせが良くなり、咀嚼機能が向上する
主なデメリット・副作用
  • 矯正装置による痛み、違和感がある場合がある
  • 治療期間中の虫歯や歯肉炎のリスク
  • 正しく装着しなければ綺麗な歯並び
歯科

CASE4

インビザライン症例
インビザライン症例
年齢・性別 30代・女性
主訴 全体的にガタガタしてる
治療方法 インビザライン矯正治療(抜歯:1本) 1年7ヶ月
費用 レギュラープラン85万円(税込み93万5千円)
メリット
  • 歯並びが整い、スマイルが綺麗になる
  • 歯並びが整い、歯磨きがしやすくなる(むし歯、歯周病のリスクが下がる)
  • 咬み合わせが良くなり、咀嚼機能が向上する
主なデメリット・副作用
  • 矯正装置による痛み、違和感がある場合がある
  • 治療期間中の虫歯や歯肉炎のリスク
  • 正しく装着しなければ綺麗な歯並び
歯科

CASE5

インビザライン症例
インビザライン症例
年齢・性別 40代・女性
主訴 上の前歯2本と下の歯1本引っ込んでいる
上の犬歯の歯並びが気になる
治療方法 インビザライン治療(非抜歯) 期間約1年
費用 レギュラープラン85万円(税込み93万5千円)
メリット
  • 歯並びが整い、スマイルが綺麗になる
  • 歯並びが整い、歯磨きがしやすくなる(むし歯、歯周病のリスクが下がる)
  • 咬み合わせが良くなり、咀嚼機能が向上する
主なデメリット・副作用
  • 矯正装置による痛み、違和感、話しづらさ
  • 治療期間中の歯みがきをしっかりしなければ、虫歯や歯肉炎になることがある。
歯科

CASE6

インビザライン症例
インビザライン症例
年齢・性別 30代・女性
主訴 上の前歯2本気になる
奥歯しか噛み合っていないのが気になる
前歯で物が噛めない
治療方法 インビザライン治療(非抜歯) 期間約1年
費用 レギュラープラン85万円(税込み93万5千円)
メリット
  • 歯並びが整い、スマイルが綺麗になる
  • 歯並びが整い、歯磨きがしやすくなる(むし歯、歯周病のリスクが下がる)
  • 咬み合わせが良くなり、咀嚼機能が向上する
主なデメリット・副作用
  • 矯正装置による痛み、違和感、話しづらさ
  • 治療期間中の歯みがきをしっかりしなければ、虫歯や歯肉炎になることがある
歯科

CASE7

インビザライン症例
インビザライン症例
年齢・性別 20代・女性
主訴 上の前歯が出てる
上下の真ん中のライン合ってない
下の前歯がガタガタしている
治療方法 インビザライン治療(非抜歯) 期間約1年
費用 レギュラープラン85万円(税込み93万5千円)
メリット
  • 歯並びが整い、スマイルが綺麗になる
  • 歯並びが整い、歯磨きがしやすくなる(むし歯、歯周病のリスクが下がる)
  • 咬み合わせが良くなり、咀嚼機能が向上する
主なデメリット・副作用
  • 矯正装置による痛み、違和感、話しづらさ
  • 治療期間中の歯みがきをしっかりしなければ、虫歯や歯肉炎になることがある
歯科

CASE8

インビザライン症例
インビザライン症例
年齢・性別 20代・男性
主訴 下の歯並びがガタガタ
笑った時や話す時に見えるのが嫌
治療方法 インビザライン治療(非抜歯)期間約2年
費用 レギュラープラン85万円(税込み93万5千円)
メリット
  • 歯並びが整い、スマイルが綺麗になる
  • 歯並びが整い、歯磨きがしやすくなる(むし歯、歯周病のリスクが下がる)
  • 咬み合わせが良くなり、咀嚼機能が向上する
主なデメリット・副作用
  • 矯正装置による痛み、違和感、話しづらさ
  • 治療期間中の歯みがきをしっかりしなければ、虫歯や歯肉炎になることがある
歯科

CASE9

インビザライン症例
インビザライン症例
年齢・性別 30歳・女性
主訴 上の前歯2本が反対咬合になってる
治療方法 インビザライン治療(非抜歯)期間約2年
費用 ライトプラン60万円(税込み66万円)
メリット
  • 歯並びが整い、スマイルが綺麗になる。
  • 歯並びが整い、歯磨きがしやすくなる(むし歯、歯周病のリスクが下がる)
  • 咬み合わせが良くなり、咀嚼機能が向上する。
主なデメリット・副作用
  • 矯正装置による痛み、違和感、話しづらさ
  • 治療期間中の歯みがきをしっかりしなければ、虫歯や歯肉炎になることがある
歯科

CASE10

インビザライン症例
インビザライン症例
年齢・性別 40歳・女性
主訴 上顎前突
左下の歯がズレている
治療方法 インビザライン治療(非抜歯)期間約1年
費用 レギュラープラン85万円(税込み93万5千円)
メリット
  • 歯並びが整い、スマイルが綺麗になる。
  • 歯並びが整い、歯磨きがしやすくなる(むし歯、歯周病のリスクが下がる)
  • 咬み合わせが良くなり、咀嚼機能が向上する。
主なデメリット・副作用
  • 矯正装置による痛み、違和感、話しづらさ
  • 治療期間中の歯みがきをしっかりしなければ、虫歯や歯肉炎になることがある
歯科

CASE11

インビザライン症例
インビザライン症例
年齢・性別 30歳・女性
主訴 上の前歯が出ている
下の歯がガタガタ
治療方法 インビザライン治療(非抜歯)期間約2年
費用 レギュラープラン85万円(税込み93万5千円)
メリット
  • 歯並びが整い、スマイルが綺麗になる。
  • 歯並びが整い、歯磨きがしやすくなる(むし歯、歯周病のリスクが下がる)
  • 咬み合わせが良くなり、咀嚼機能が向上する。
主なデメリット・副作用
  • 矯正装置による痛み、違和感、話しづらさ
  • 治療期間中の歯みがきをしっかりしなければ、虫歯や歯肉炎になることがある
歯科

CASE12

インビザライン症例
インビザライン症例
年齢・性別 20歳・女性
主訴 上下の歯がガタガタ
治療方法 インビザライン治療(抜歯2本)期間約2年
費用 レギュラープラン85万円(税込み93万5千円)
メリット
  • 歯並びが整い、スマイルが綺麗になる。
  • 歯並びが整い、歯磨きがしやすくなる(むし歯、歯周病のリスクが下がる)
  • 咬み合わせが良くなり、咀嚼機能が向上する。
主なデメリット・副作用
  • 矯正装置による痛み、違和感、話しづらさ
  • 治療期間中の歯みがきをしっかりしなければ、虫歯や歯肉炎になることがある
歯科

CASE13

インビザライン症例
インビザライン症例
年齢・性別 50歳・男性
主訴 反対咬合・受け口
治療方法 インビザライン治療(非抜歯)期間約2年
費用 レギュラープラン85万円(税込み93万5千円)
メリット
  • 歯並びが整い、スマイルが綺麗になる。
  • 歯並びが整い、歯磨きがしやすくなる(むし歯、歯周病のリスクが下がる)
  • 咬み合わせが良くなり、咀嚼機能が向上する。
主なデメリット・副作用
  • 矯正装置による痛み、違和感、話しづらさ
  • 治療期間中の歯みがきをしっかりしなければ、虫歯や歯肉炎になることがある
歯科

CASE14

インビザライン症例
インビザライン症例
年齢・性別 20歳・男性
主訴 左上が八重歯になっている
右下1本が内側にあるのが気になる
治療方法 全顎インビザライン矯正(非抜歯)18か月
費用 レギュラープラン85万円(税込み93万5千円)
メリット
  • 歯並びが整い、スマイルが綺麗になる。
  • 歯並びが整い、歯磨きがしやすくなる(むし歯、歯周病のリスクが下がる)
  • 咬み合わせが良くなり、咀嚼機能が向上する。
主なデメリット・副作用
  • 矯正装置による痛み、違和感、話しづらさ
  • 治療期間中の歯みがきをしっかりしなければ、虫歯や歯肉炎になることがある
歯科

CASE15

インビザライン症例
インビザライン症例
年齢・性別 40歳・女性
主訴 上の両側の犬歯が八重歯になっているのが気になる
上の両側2番目の前歯が引っ込んでる
下の前歯がガタガタなのが気になる
治療方法 全顎インビザライン矯正(非抜歯)27か月
費用 レギュラープラン85万円(税込み93万5千円)
メリット
  • 歯並びが整い、スマイルが綺麗になる。
  • 歯並びが整い、歯磨きがしやすくなる(むし歯、歯周病のリスクが下がる)
  • 咬み合わせが良くなり、咀嚼機能が向上する。
主なデメリット・副作用
  • 矯正装置による痛み、違和感、話しづらさ
  • 治療期間中の歯みがきをしっかりしなければ、虫歯や歯肉炎になることがある
歯科

CASE16

インビザライン症例
インビザライン症例
年齢・性別 20代・男性
主訴 上の2本前歯が出ているのが気になる
横から見たときに上の歯が出ているのが気になる
治療方法 全顎インビザライン矯正(非抜歯)36か月
費用 レギュラープラン85万円(税込み93万5千円)
メリット
  • 歯並びが整い、スマイルが綺麗になる。
  • 歯並びが整い、歯磨きがしやすくなる(むし歯、歯周病のリスクが下がる)
  • 咬み合わせが良くなり、咀嚼機能が向上する。
主なデメリット・副作用
  • 矯正装置による痛み、違和感、話しづらさ
  • 治療期間中の歯みがきをしっかりしなければ、虫歯や歯肉炎になることがある
歯科

CASE17

インビザライン症例
インビザライン症例
年齢・性別 20歳・女性
主訴 上の前歯2本が出ているのが気になる
下の歯が、ガタガタしている
治療方法 全顎インビザライン矯正(非抜歯)6か月
費用 レギュラープラン85万円(税込み93万5千円)
メリット
  • 歯並びが整い、スマイルが綺麗になる。
  • 歯並びが整い、歯磨きがしやすくなる(むし歯、歯周病のリスクが下がる)
  • 咬み合わせが良くなり、咀嚼機能が向上する。
主なデメリット・副作用
  • 矯正装置による痛み、違和感、話しづらさ
  • 治療期間中の歯みがきをしっかりしなければ、虫歯や歯肉炎になることがある
歯科

CASE18

インビザライン症例
インビザライン症例
年齢・性別 10歳・男性
主訴 左上犬歯が、飛び出ている所が気になる
治療方法 全顎インビザライン矯正(抜歯ケース)27か月
費用 レギュラープラン85万円(税込み93万5千円)
メリット
  • 歯並びが整い、スマイルが綺麗になる。
  • 歯並びが整い、歯磨きがしやすくなる(むし歯、歯周病のリスクが下がる)
  • 咬み合わせが良くなり、咀嚼機能が向上する。
主なデメリット・副作用
  • 矯正装置による痛み、違和感、話しづらさ
  • 治療期間中の歯みがきをしっかりしなければ、虫歯や歯肉炎になることがある
歯科

CASE19

インビザライン症例
インビザライン症例
年齢・性別 10歳・女性
主訴 上下前歯が、ガタガタなのが気になる
上下前歯が出ている
治療方法 全顎インビザライン矯正(抜歯)25か月
費用 レギュラープラン85万円(税込み93万5千円)
メリット
  • 歯並びが整い、スマイルが綺麗になる。
  • 歯並びが整い、歯磨きがしやすくなる(むし歯、歯周病のリスクが下がる)
  • 咬み合わせが良くなり、咀嚼機能が向上する。
主なデメリット・副作用
  • 矯正装置による痛み、違和感、話しづらさ
  • 治療期間中の歯みがきをしっかりしなければ、虫歯や歯肉炎になることがある
歯科

CASE20

インビザライン症例
インビザライン症例
年齢・性別 20歳・女性
主訴 前歯で物が噛めない、口が閉じにくい
上の前歯2本が出ている
下の前歯が、ガタガタなのが気になる
治療方法 全顎インビザライン矯正(抜歯矯正)24か月
費用 レギュラープラン85万円(税込み93万5千円)
メリット
  • 歯並びが整い、スマイルが綺麗になる。
  • 歯並びが整い、歯磨きがしやすくなる(むし歯、歯周病のリスクが下がる)
  • 咬み合わせが良くなり、咀嚼機能が向上する。
主なデメリット・副作用
  • 矯正装置による痛み、違和感、話しづらさ
  • 治療期間中の歯みがきをしっかりしなければ、虫歯や歯肉炎になることがある
歯科

CASE21

インビザライン症例
インビザライン症例
年齢・性別 30歳・女性
主訴 左上の前歯1本が、曲がっているのが気になる
下の前歯がでこぼこの歯並びが気になる
治療方法 全顎インビザライン矯正(非抜歯)20か月
費用 レギュラープラン85万円(税込み93万5千円)
メリット
  • 歯並びが整い、スマイルが綺麗になる。
  • 歯並びが整い、歯磨きがしやすくなる(むし歯、歯周病のリスクが下がる)
  • 咬み合わせが良くなり、咀嚼機能が向上する。
主なデメリット・副作用
  • 矯正装置による痛み、違和感、話しづらさ
  • 治療期間中の歯みがきをしっかりしなければ、虫歯や歯肉炎になることがある
歯科

CASE22

インビザライン症例
インビザライン症例
年齢・性別 30歳・女性
主訴 下の前歯が上の歯より前にきているのが気になる
上の歯が全体的にガタガタしている
受け口
治療方法 全顎インビザライン矯正(非抜歯)12か月
費用 レギュラープラン85万円(税込み93万5千円)
メリット
  • 歯並びが整い、スマイルが綺麗になる。
  • 歯並びが整い、歯磨きがしやすくなる(むし歯、歯周病のリスクが下がる)
  • 咬み合わせが良くなり、咀嚼機能が向上する。
主なデメリット・副作用
  • 矯正装置による痛み、違和感、話しづらさ
  • 治療期間中の歯みがきをしっかりしなければ、虫歯や歯肉炎になることがある
歯科

CASE23

インビザライン症例
インビザライン症例
年齢・性別 20歳・女性
主訴 左上2番目の前歯が傾いている
下の前歯がガタガタしている
右下3番目の前歯が上の歯より前にきている
治療方法 全顎インビザライン矯正(非抜歯)11か月
費用 レギュラープラン85万円(税込み93万5千円)
メリット
  • 歯並びが整い、スマイルが綺麗になる。
  • 歯並びが整い、歯磨きがしやすくなる(むし歯、歯周病のリスクが下がる)
  • 咬み合わせが良くなり、咀嚼機能が向上する。
主なデメリット・副作用
  • 矯正装置による痛み、違和感、話しづらさ
  • 治療期間中の歯みがきをしっかりしなければ、虫歯や歯肉炎になることがある
歯科

CASE24

インビザライン症例
インビザライン症例
年齢・性別 20歳・男性
主訴 右上2番目の前歯が横を向いているのが気になる
前歯2本の間に隙間があるのが気になる
前歯で嚙みにくい
治療方法 全顎インビザライン矯正(非抜歯)23か月
費用 レギュラープラン85万円(税込み93万5千円)
メリット
  • 歯並びが整い、スマイルが綺麗になる。
  • 歯並びが整い、歯磨きがしやすくなる(むし歯、歯周病のリスクが下がる)
  • 咬み合わせが良くなり、咀嚼機能が向上する。
主なデメリット・副作用
  • 矯正装置による痛み、違和感、話しづらさ
  • 治療期間中の歯みがきをしっかりしなければ、虫歯や歯肉炎になることがある
歯科

CASE25

インビザライン症例
インビザライン症例
年齢・性別 30歳・女性
主訴 右下の犬歯が引っ込んでいるのが気になる
治療方法 全顎インビザライン矯正(非抜歯)8か月
費用 レギュラープラン85万円(税込み93万5千円)
メリット
  • 歯並びが整い、スマイルが綺麗になる。
  • 歯並びが整い、歯磨きがしやすくなる(むし歯、歯周病のリスクが下がる)
  • 咬み合わせが良くなり、咀嚼機能が向上する。
主なデメリット・副作用
  • 矯正装置による痛み、違和感、話しづらさ
  • 治療期間中の歯みがきをしっかりしなければ、虫歯や歯肉炎になることがある